д-р Таня Парушева - брекети, апаратчета, Бургас

  • Брекет

    Апаратчета различни цветове за деца от 7 до 10 години.

  • Брекет

    Cиликонови шини за деца от 2 до 12 години

  • Пациент Елена преди лечение

    Елена преди лечение.

  • Пациент Елена след лечение

    Елена след лечение.

  • Пациент Йоана 11 години
                            преди лечение

    Йоана на 11г. липсва място за горен десен кучешки зъб. Постигнато е разширение с RPE и са използвани брекети в двете челюсти.

  • Пациент Йоана 11 години
                            след лечение

    Йоана след 2г.

  • Пациент Стела 14 години
                        преди лечение

    Стела на 14г. не харесва кривите предни зъби и изместването на горната челюст. Проведено е лечение с метални брекети в двете челюсти. Използвани са ластици за корекция на захапката и девиацията.

  • Пациент Стела 14 години
                        след лечение

    Стела след лечение.

  • Пациент Валентин 15 години
                    преди лечение

    Валентин на 15г. Пациента е с тясна горна челюст и кръстосани латерални резци. Използван е апарат за бързо разширение (RPE) за 6м. и е проведено лечение с метални брекети за 1г. и 4м.

  • Пациент Валентин 15 години
                    след лечение

    Валентин след 2г.

  • Пациент Юзджан 20 години
                    преди лечение

    Юзджан на 20г. Пациента не харесва кръстосването на кучешките зъби в ляво. Проведено е лечение с брекети в двете челюсти за 1г.

  • Пациент Юзджан 20 години
                    след лечение

    Юзджан след 1г.

  • Пациент А.Х. преди лечение

    Пациент А.Х. на 16г не харесва „кривите си предни зъби“.Проведено е лечение с метални брекети за 8мес.

  • Пациент А.Х. след лечение

    Пациент А.Х след 8мес.

  • Пациент И.П. преди лечение

    Пациент И.П. на 15г. не харесва усмивката си. Има компресия в двете челюсти и дълбока захапка. Проведено е лечение с метални брекети за 1г. и 4 мес.

  • Пациент И.П. след лечение

    Пациент И.П. след 1г. и 4мес.

  • Пациент В.Д преди лечение

    Пациент В.Д на 38г. не харесва появилите се разстояния между зъбите, вследствие на пародонтален процес. Проведено е лечение с естетични брекети само в горната челюст за 6мес. разстоянията са затворени, зъбите са стабилни.

  • Пациент В.Д. след лечение

    Пациент В.Д. след 6мес

  • Пациент П.И. преди лечение

    Пациент П.И. на 20г. не харесва кривите си зъби и разстоянието между централните резци.Проведено е лечение с метални брекети за 1г.и 5мес.

  • Пациент П.И. след лечение

    Пациент П.И. след 1г. и 5мес.

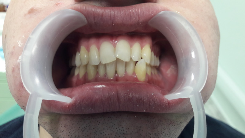
  • Рая

    пациент Р.В.на 36г.с дълбока захапка и "щръкнали странични зъби".

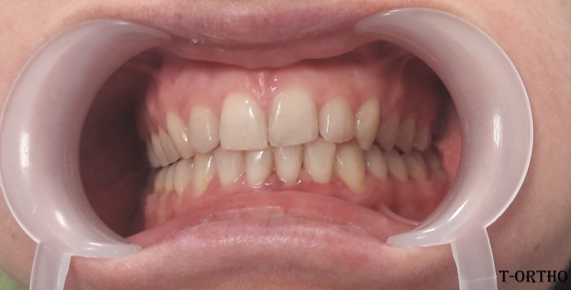
  • Рая

    Пациента след лечение.


Всички пациенти след приключване на активното ортодонтско лечение носят ретенционни апарати(снемаеми или неснемаеми) по индивидуална преценка и идват на регулярни контролни прегледи за задържане на постигнатите резултати!